3. Three Romano-Egyptian Panel Paintings in the Ny Carlsberg Glyptotek

  • Jens Stenger
  • Cecilie Brøns
  • Richard Newman
  • Caroline R. Cartwright

Roman-era panel painting is mostly known by funerary mummy portraits from Roman Egypt, of which only about a thousand are preserved in museums and private collections worldwide. However, other types of panel painting on wood have also survived from the Roman period in Egypt, such as the so-called votive panels. Objects of this type are usually defined by three parameters that differ from the mummy portraits: the use of framing, their function as religious votives, and their choice of motifs. While human individuals are rendered in the mummy portraits, gods and goddesses are considered the primary subjects of the corpus of votive panel paintings from Roman Egypt. The divinities rendered on the panels derive from three distinct pantheons: the local, ancient Egyptian pantheon; the Greco-Roman pantheon; and finally, a newly defined pantheon of divine military gods from the Syro-Arabian caravan routes.1

Panel paintings of a votive character are extremely rare, as manifested by the very few examples documented in public and private collections around the globe. Vincent Rondot assembled a corpus of fifty-five votive panel paintings, while Thomas Mathews assembled a corpus of fifty-nine examples.2 Six of these panels, included in both corpora of votive paintings, have been described as lost since their discovery.3 One of these six panels, however, is curated safely at the Ny Carlsberg Glyptotek (ÆIN 711). Mathews’s corpus includes five panels that are not included in Rondot’s: the famous portrait of Septimius Severus and his family;4 a panel depicting a goddess in mourning;5 a panel rendering the goddess Fortuna-Tyche;6 one depicting the goddess Nike, recovered at Dura-Europos;7 and a fragment (no. 230) from a frame in Tebtunis.

Mathews omits a painting from the corpus collected by Rondot depicting Isis and Hathor,8 which he believes is not a panel painting but instead part of a coffin or a type of furniture.9 Such a distinction might be hard to make for many of these often poorly preserved artifacts, which are frequently fragmentary, and some lack exact provenience. Indeed, the function of many of these votive panel paintings is under debate, primarily because of the contexts in which they were once used. Their find spots (where known) indicate that they had cultic functions in both temples and domestic situations, whether in neighborhood chapels or as domestic shrines.10

Scholarship on ancient panel painting differentiates between these two categories (mummy portraits and votive panels) and a third category, funerary portraits. The latter render human individuals, but they were not intended for insertion into mummies. Rather, they were displayed in tombs or private homes, where they were probably part of an ancestral cult.11 Yet, such a differentiation is not always straightforward, and there is often confusion in scholarship between these three proposed main types of Romano-Egyptian panel painting: mummy portraits, funerary portraits, and votive panel paintings. Moreover, these three categories seem to exclude portraits of living subjects and other portraits of a noncultic character, as well as other types of panel painting, such as those painted on furniture or the like, which as mentioned can be extremely hard to differentiate from other types of panel painting. This difficulty is illustrated by the four painted wooden panels on a fourth-century sarcophagus in the J. Paul Getty Museum.12 The sarcophagus is made with cedar of Lebanon (Cedrus libani) wood and painted using the tempera technique with the same pigments and binders commonly used for panel paintings.13 In cases where only parts of these panels have been preserved—for instance, those rendering a portrait of the deceased—it would be hard, if not impossible, to discern them from funerary portraits. Thus, there is a pressing need to develop proper terminology and categories for identifying the different types of paintings created on wood and methods for discerning them.

The Three Panel Paintings in the Ny Carlsberg Glyptotek

Our current study focuses on three panel paintings from the collections of the Ny Carlsberg Glyptotek, Copenhagen: two votive panels and one funerary portrait. All three paintings were acquired in Egypt by the Danish Egyptologist Valdemar Schmidt (1836–1925) (fig. 3.1). Schmidt knew the brewer and museum founder Carl Jacobsen, who was a dedicated collector of ancient Greco-Roman and Egyptian art. In fact, Schmidt became Jacobsen’s personal buyer of Egyptian antiquities, and these established the Egyptian collection of the Ny Carlsberg Glyptotek. The panels were acquired in 1892, which makes them among the earliest examples of such paintings acquired for museum collections worldwide. (The earliest acquisitions were made by the Egyptian Museum in Cairo in 1889 and the British Museum in 1891.)14 Unfortunately, as with many other artifacts acquired in Egypt during the nineteenth and early twentieth centuries, the exact provenience is unknown; in line with the museum’s acquisition protocols at the time, it is noted only that they are from Egypt.

Portrait of a man in black and white. He has short hair and a full beard, and he wears a tuxedo with a bowtie. Only a portion of the upper half of his body is visible.
Expand Figure 3.1 Portrait of the Danish Egyptologist Valdemar Schmidt (1836–1925). Photo: Friedrich Wilhelm Schmidt. Courtesy: The Royal Danish Library

Previous publications on the three paintings are primarily based on old black-and-white photos, and this fact has inevitably resulted in some details being overlooked or misinterpreted. Moreover, one of the panels (ÆIN 711) was, for unknown reasons, considered lost and is therefore mentioned only briefly in previous studies. Additionally, these three panels have never been on display but instead safely kept in museum storage. This study aims to bring them back to light.

ÆIN 685

The first panel, ÆIN 685, consists of the left half of a votive painting (fig. 3.2), composed of two well-preserved boards of approximately the same width assembled vertically.15 On the left, top, and bottom sides of the painting is an unpainted band, which corresponds to the original wooden frame, now lost. Holes for the attachment of the frame are placed at irregular intervals along the unpainted border. Original ancient strips of fabric are glued onto the joints of the boards, to cover them and to consolidate the attachment of the two slats.

Fragmented votive panel painting that depicts the goddess Nemesis, who takes up most of the painting, and the god Harpocrates, who is small and appears in the upper left corner. Nemesis holds a cubit, or measuring stick, in her right hand and wears a pinkish tunic. Harpocrates has a large white halo behind his head, and he has a garland and situla. The paint is chipped in several places.
Expand Figure 3.2 Left part of a votive panel painting depicting the goddess Nemesis and the god Harpocrates. 50.2 × 22.7 cm (19.8 × 8.9 in.). Ny Carlsberg Glyptotek, inv. no. ÆIN 685. Photo: Anders Sune Berg

The woman, who is the main subject of the panel painting, has been interpreted as the goddess Nemesis, primarily due to the cubit (measuring stick) she holds in her right hand. The cubit was the attribute of Nemesis, one of the most-often-depicted deities in the corpus of Egyptian panel paintings. Based on his dress and attributes (garland and situla), the smaller, haloed male figure in the upper-left corner has been convincingly interpreted as the Hellenistic child-god Harpocrates.

ÆIN 711

ÆIN 711 is a fragment that constitutes the left part of a panel painting (fig. 3.3).16 Two adjoining boards of unequal widths are preserved and assembled vertically. The board to the right survives in its entire height and width, while only the upper left and right parts of the left board are preserved. Along the left and the upper edge is an unpainted band, corresponding to the original frame, now lost. Two pegs oriented at a 45-degree angle are preserved in the right side of the rightmost board, attesting to the attachment of a third board to the right, which is now missing.

Fragmented votive panel painting rendering a female bust, a winged griffin, and two minor divinities. Most of the paint has chipped away, but the two minor divinities are the most visible of what remains. They are in the upper half of the painting, and the one on the left is taller than the other. They both have short hair and beards, and the taller one holds an ax. They both wear tunics of faded yellow and pink. The female bust is recognizable by the right shoulder still visible at the bottom right. A gray clavus is visible on the tunic, and a whitish mantle is arranged across the figure’s abdomen. Her sleeve is decorated with a white fringe at the opening and she wears a gold snakelike bracelet with two twisted rows.
Expand Figure 3.3 Fragment of a votive panel painting rendering a female bust, a winged griffin, and two minor divinities. 53 × 18.5 × 2 cm (21 × 7.3 × 0.75 in.). Ny Carlsberg Glyptotek, inv. no. ÆIN 711. Photo: Anders Sune Berg

In the top register of the painting, two human figures are depicted. To the left is a male figure who holds a double axe and is dressed in military garb. He is probably one of the armed gods, perhaps Heron, rendered on several other votive panel paintings. The smaller female figure to the right of the armed god has a lunar crescent above her head, which might indicate her status as a goddess. In the midregister is the griffin of Nemesis, facing toward the center of the painting. Only parts of the griffin are preserved, including the head and most of the wings. At the lower register of the painting are the remains of what were probably the busts of one or two goddesses.

ÆIN 686-687

The last panel is the right section of a panel painting, consisting of three well-preserved boards of approximately the same width, assembled vertically (fig. 3.4).17 It has large irregular paint loss running vertically down the panel, separating the painting into two parts. The original panel, when complete, would probably have included two more boards to the left, indicated by the preserved dowels along the left side and the incomplete composition. On the right, top, and bottom edges of the painting is a narrow unpainted band, corresponding to the original wooden frame, now lost.

Fragmented portrait of a man and a griffin with the wheel of Nemesis. There is a missing piece in one of the boards, so that the portrait is presented in two sections with the man's head on the left and his left shoulder and the griffin on the right. The griffin hovers above the man's left shoulder with a paw on the wheel of Nemesis. The man wears a white tunic and white mantle. He holds one object in his left fist and another pinched between the thumb and forefinger of his right hand.
Expand Figure 3.4 The central and right part of a funerary portrait of a man and a griffin with the wheel of Nemesis. 67.5 × 9.7/13.8 × 4 cm (25.9 × 3.8/5.4 × 1.0 in.). Ny Carlsberg Glyptotek, inv. no. ÆIN 686-687. Photo: Anders Sune Berg

The panel depicts a half-length frontal representation of a man dressed in a white tunic and white mantle. To the right of the man’s head is a winged griffin with the wheel of Nemesis. The portrait has stylistic similarities with contemporary mummy portraits, yet this panel, due to its large size, thickness, and shape, was likely never attached to a mummy but most probably functioned as a stand-alone funerary portrait, commemorating the deceased.

Imaging Methods

A Canon EOS 5D Mark IV camera body was modified to extend its sensitivity from the ultraviolet A (UVA) to the near-infrared (NIR) spectral regions. For multiband imaging (MBI), this camera body was employed in combination with a Canon EF 50 mm f/2.5 Compact Macro lens. The following filters were used for image acquisition:

  • XNite CC118 for visible light (VIS) photography

  • XNite CC1, PECA 918, and Tiffen Haze 2E for ultraviolet-induced visible fluorescence (UVF) imaging

  • Schott RG830 for infrared-reflected imaging (IRR) and visible-induced infrared luminescence (VIL) imaging

False color infrared (FCIR) images were created by overlaying the VIS and IRR images and substituting channels in the conventional way: green to blue, red to green, and infrared to red. The subtraction of an image at 635 nm shot with a MidOpt BP635 filter from one shot at 735 nm (MidOpt BP735) uncovered information about the possible presence of indigo.19 For this imaging mode, the abbreviation MBR (multiband reflectance image subtraction) is used.

Radiation sources employed were:

  • Incandescent tungsten lamps in combination with soft box diffusers for VIS and IRR

  • EXC-LED RGB lamps (470 nm, 525 nm, and 629 nm) for VIL

  • Hoenle UVASPOT 400/T lamps filtered with a Schott UG2A glass for UVF

The X-Rite ColorChecker Passport Photo 2,20 Target-UV from UV Innovations,21 and a 99% Spectralon diffuse reflectance standard was included in all images.

Although multiband imaging is not an analytical tool used for chemical identification, it can reveal important characteristics and differentiate between different painting materials.

ÆIN 685 Imaging

Comparing the visible light photograph and the UVF image, it immediately becomes evident that the painter used two different red pigments (fig. 3.5A–B). In Nemesis’s garment, the lighter pink areas fluoresce orange, suggesting the presence of an organic red lake pigment. Other areas exhibiting this fluorescence are in the details of her face, including chin, lips, nose, and around her eyes. Moreover, it appears that a minute amount of red lake was included in the paint used for her hairstyle (fig. 3.6A–B). Additionally, Harpocrates’s sash/stole, as well as his crown/garland, emit orange fluorescence upon UV excitation (fig. 3.7A–B). Similar fluorescence characteristics are observed for the light pink object (perhaps a textile) in his proper left hand and the rendering of his proper right thigh. The other red pigment, used in the folds and shades of Nemesis’s garment, does not fluoresce under UV excitation. Further observations in the UVF image are the white to off-white fluorescence of the exposed ground, for example in Hippocrates’s face and the fibers of the textile strips used to reinforce the panel joints.

Multiband imaging of the votive panel painting that depicts the goddess Nemesis and the god Harpocrates. The visible light photograph of panel A is in original color, while panel B is a UVF image showing the original colors of Nemesis's tunic and Harpocrates's sash and crown as orange. Panel C is an MBR image, and the paint shows up MBR positive as a light gray most notably on the clavus in her right hand, as well as in her hair, necklace, and on Harpocrates's forehead, crown, sash, and in the shading of the white garment near his left thigh. Panel D is IRR imaging that emphasizes the carbon-based black used for Nemesis's staff, parts of her necklace, and hair, as well as for the gray background and for Harpocrates's sash, staff, eyes, and locks of hair. Panel E is an FCIR image which makes the entire image appear a light blue and draws attention to the reddish tone in Nemesis's clavus, hair, necklace, and Harpocrates's headgear. Panel F is a VIL image with a small contribution from IRR, so that the image appears to be in black and white and very dark, making it difficult to distinguish the deities in the portrait save for the presence of white in Nemesis's garment corresponding to Egyptian blue.
Expand Figure 3.5 Multiband imaging of panel ÆIN 685: (A) VIS, (B) UVF, (C) MBR, (D) IRR, (E) FCIR, (F) VIL with a small contribution from IRR. Photo: Jens Stenger
Multiband imaging of closeups of Nemesis's head. Panel A shows the portrait of Nemesis in original color. Panel B is a UVF image that shows the reddish hue of Nemesis's garment as a bright orange. Panel C is an MBR image, and the paint shows up MBR positive as a light gray, most notably on the clavus in Nemesis's right hand, hair, and necklace. Panel D is an IRR image that appears black and white. Panel E is an FCIR image, so that most of the paint shows up as a light blue except for the reddish tone in Nemesis's clavus, hair, and part of her necklace. Panel F is a VIL image with a small contribution from IRR, so that the image appears mostly black except for the gray of Nemesis's garments.
Expand Figure 3.6 Multiband imaging of a detail of ÆIN 685 rendering the head of Nemesis: (A) VIS, (B) UVF, (C) MBR, (D) IRR, (E) FCIR, (F) VIL with a small contribution from IRR. Photo: Jens Stenger
Multiband imaging of Harpocrates's face and body. Panel A shows the image of Harpocrates in original color; parts of his crown and sash are red, and his garment is white. Panel B is a UVF image that shows the reddish hue of Harpocrates's crown, sash, left knee, and cheeks as bright orange. Panel C is an MBR image, and the paint that shows up MBR positive appears as light gray, most notably on the right side of his garment. Panel D is an IRR image that appears black and white. Panel E is an FCIR image, so that most of the paint shows up as a light blue except for the reddish tone around the edges of the image and where the image has been damaged. Panel F is a VIL image with a small contribution from IRR, so that the image appears mostly black except for the dark gray of his garments and the damage done to the image.
Expand Figure 3.7 Multiband imaging of a detail of ÆIN 685 rendering the figure of Harpocrates: (A) VIS, (B) UVF, (C) MBR, (D) IRR, (E) FCIR, (F) VIL with a small contribution from IRR. Photo: Jens Stenger

The IRR image (fig. 3.5D) suggests that carbon-based black was used for Nemesis’s staff, parts of her necklace, and hair (fig. 3.6D), for the gray background, and for Harpocrates’s sash/stole, staff, eyes, and locks of hair (fig. 3.7D).

VIL imaging is highly sensitive to Egyptian blue and its spatial distribution.22 In the VIL image of ÆIN 685, many particles appear white from the strong infrared luminescence characteristic of Egyptian blue, which indicates that it was likely used in the paint mixtures to render Nemesis’s pink garment (fig. 3.5F). In the mixture with the fluorescing red lake pigment there is much more Egyptian blue compared to the paint containing the nonfluorescing red. The blue-gray clavus running vertically across Nemesis’s garment also exhibits a high density of Egyptian blue particles (fig. 3.6F). The skin color of her face and the brown of her hair include far fewer particles of Egyptian blue, while the pigment is absent in the paint of the gray background and the black staff.

Very few particles of Egyptian blue are dispersed irregularly over the figure of Harpocrates (fig. 3.7F), probably indicating that their presence in this area of the panel is unintentional. FCIR images show a reddish tone in the clavus (fig. 3.5E), Nemesis’s hair, part of the necklace (fig. 3.6E), and in Harpocrates’s headgear (fig. 3.7E), suggesting the presence of indigo.

The spatial mapping of indigo was also attempted, using MBR. This tool works based on the strong signal increase when comparing the reflectance values of the spectrum of indigo at 635 nm in the visible region and 735 nm in the NIR. It can be visualized by subtracting two images captured with narrow band-pass filters at the two respective wavelengths. However, the wood in areas of paint loss also yields an MBR signal, as observed previously on mummy portraits.23 Salas has pointed out additional shortcomings of the tool,24 demonstrating that MBR cannot differentiate between indigo, Maya blue, cobalt-containing pigments, and lapis lazuli or ultramarine.

With these false positives as well as the geographic region and creation time in mind, the MBR images of ÆIN 685 were studied critically (figs. 3.5C, 3.6C, and 3.7C). Positive MBR signals were found in several parts of the painting, including the clavus of the goddess’s tunic and her mantle, which is arranged horizontally across her abdomen (see fig. 3.5C). Interestingly, the MBR image exposes decoration in the shape of a cross at the uppermost part of the clavus on her proper right shoulder, which is not clearly discernible in visible light (see fig. 3.6C). The MBR image also reveals elevated counts in some parts of her hair and in the blue stones in her necklace. Moreover, the two dots on Harpocrates’s forehead, his wreath/headgear, sash/stole, and the shading of his white garment near his left thigh are MBR positive (see fig. 3.7C). Additional analysis using Fourier transform infrared spectroscopy (FTIR) detected indigo on Nemesis’s gray clavus.25

A detail of the raking-light image (fig. 3.8) gives a good impression of the panel’s state of preservation. The most severe paint losses have occurred near the join of the two vertical slats. This was caused by the detachment, including a large loss of the textile strip that had reinforced the join. Some of the textile is preserved at the bottom of the join and on the right edge of the right slat, which can be seen at the edges of the paint losses. The paint itself shows widespread cracking, resulting in islands of paint that delaminate on the edges into concave forms, a phenomenon often described as cupping.

Detail image in black and white showing the panel's state of preservation. The surface shows widespread cracking and is very textured.
Expand Figure 3.8 Detail of ÆIN 685 in raking light. Photo: Jens Stenger

ÆIN 711 Imaging

Approximately half of the paint is lost on panel ÆIN 711 and this, together with its fragmentary state, makes it hard to fully understand and interpret the original motif. The rendering on the lower half of the painting is particularly difficult to decipher. MBI helps in better understanding the original motif as well as the use and distribution of certain colorants.

UV-induced orange fluorescence strongly suggests the presence of an organic red lake pigment (fig. 3.9A–B). This colorant is used for highlights on the folds of the pink garment in the lower register. Its application on top of a nonfluorescing red is very similar to that in ÆIN 685, except that here the paint containing red lake exhibits two distinct fluorescence strengths, which is indicative of red paints mixed with different concentrations of red lake. Rendering of the female bust is recognizable by the right shoulder still visible at the bottom right. A gray clavus is visible on the tunic, and a whitish mantle is arranged across the figure’s abdomen. Her sleeve is decorated with a white fringe at the opening. Moreover, she wears a gold snakelike bracelet with two twisted rows. Red lake is also used for the red mantle and parts of the headgear of the armed god (only visible near his right temple) and the tunic of the neighboring smaller female figure to the right in the upper register. The UVF image (fig. 3.9B) also reveals a whitish fluorescence, which occurs in areas of paint loss where the white ground is exposed.

Multiband imaging of panel ÆIN 711 rendering a female bust, a winged griffin, and two minor divinities. Panel A uses VIS imaging to show the UV-induced orange fluorescence in the folds of the pink garment in the lower register. Red also shows in the red mantle and parts of the headgear of the armed god and the tunic of the neighboring smaller female figure to the right of the upper register. In Panel B, which uses UVF imaging, these reds show up as a bright orange, and there is a whitish fluorescence in areas of paint loss. Panel C uses MBR imaging and shows the griffin's wings in light gray. Panel D uses IRR imaging, enhancing the contrast of the black line drawing, which defines the two smaller figures in the upper half of the panel. Image E uses FCIR imaging, and the griffin's wing is more apparent because of its false red color. The VIL imaging in panel F shows a cluster of white near the middle-right side of the panel.
Expand Figure 3.9 Multiband imaging of the panel ÆIN 711: (A) VIS, (B) UVF, (C) MBR, (D) IRR, (E) FCIR, (F) VIL with a small contribution from IRR. Photo: Jens Stenger

The IRR image enhances the contrast of the black line drawing, which defines the two smaller figures in the upper half of the panel, suggesting the use of a carbon black (fig. 3.9D). The elegant lines are executed with a fluid medium on top of the yellow, pink, and gray color fields. Black lines with high IR absorbance also appear in the middle-left part of the painting, which represents what is left of the outline of the teats, legs, head, and beak of the griffin (fig. 3.10). The IRR image also shows the use of carbon black for the left half of a female hairstyle, with visible strands of black hair arranged in a bun to the right of the small female divinity. In contrast, the poorly preserved bust in the lower half of the painting does not show any carbon black or an outline in another material.

Close-up multiband imaging of the griffin on ÆIN 711. The VIS imaging in panel A shows a whitish griffin with blue-gray wings. In panel B, the UVF imaging shows a slight orange hue to the griffin's back and neck. Panel C uses FCIR imaging and brings attention to the false red color of the griffin's wings. Panel D uses MBR imaging and shows the noticeably lighter color of the griffin's wings compared to the dark gray of the rest of the visible panel, suggesting that indigo was used only here in the painting.
Expand Figure 3.10 Multiband imaging of the griffin on ÆIN 711: (A) VIS, (B) UVF, (C) FCIR, (D) MBR. Photo: Jens Stenger

VIL imaging of the panel (fig. 3.9F) shows a cluster of Egyptian blue near the middle-right side of the panel. However, this concentration is outside the preserved paint and is therefore probably the result of ancient or modern contamination. The preserved original paint shows no evidence of the use of Egyptian blue. The MBR image suggests that indigo was used only to render one specific detail of this panel—the wings of the griffin (figs. 3.9C and 3.10D)—and gave weak signals in areas of exposed wood. In the FCIR image the wing is more apparent due to its false red color (figs. 3.9E and 3.10C).

A detail of the panel in raking light highlights the surface structure of the wood and its grain (fig. 3.11). It becomes clear that the support was not sanded before the application of the ground layer, in contrast to ÆIN 685, where the exposed wooden support is smooth (see fig. 3.8). The cupping is less pronounced, but there are instances of tenting, where paint slabs form a triangular, tent-like structure due to the shrinkage of the underlying support caused by environmental conditions.

Magnified detail of ÆIN 711 in raking light, drawing attention to the surface texture of the wood and its grain. The two main textures are the raised streaks of paint and clumps of smoother blotches.
Expand Figure 3.11 Detail of ÆIN 711 in raking light. Photo: Jens Stenger

ÆIN 686-687 Imaging

The last painting is the portrait of a man and has a very different palette from the two panels discussed previously, as is apparent in the visible light photograph showing mostly white and earth colors (fig. 3.12A). The area of the white garment has no additional paint application above the ground layer, giving it the same appearance as the painting’s background.

The image displays four views (A, B, C, D) of a painted wooden panel using multiband imaging techniques. In Panel A, the image is in Visible Light and shows the portrait with its original colors: the depicted man has dark hair and a beard, light skin tones, and is wearing a tunic. The panel is cracked down the middle. In Panel B, the image is under Ultraviolet-Induced Visible Fluorescence and shows a dark, high-contrast, mostly non-fluorescent appearance. The original light areas of the painting appear dark, contrasting with the wood panel. In Panel C, the Infrared Reflectography image is high-contrast black and white. Original white and reddish pigments appear light, while the hair and outlines appear dark. In Panel D, the Multiband Reflectography image is a high-contrast black and white view similar to IRR, but the image is much darker and less distinct.
Expand Figure 3.12 Multiband imaging of the panel ÆIN 686-687: (A) VIS, (B) UVF, (C) IRR, (D) MBR. No significant VIL signal was detected (not shown). Photo: Jens Stenger

MBI exhibits a finer and additional differentiation of colorants compared to the information obtained with only visible light. UVF imaging also detects an orange emission from a lake pigment (fig. 3.12B). But the use of the red lake here is much more selective compared to the other two panels. It occurs in the purple decorative element on the subject’s mantle at the proper left cuff and in details of his face, including lips, cheeks, and around his nose. In his left hand he holds a pink floral wreath; the UVF image shows that it was also rendered with a paint containing red lake. It was applied in distinctly visible round brushstrokes that echo the warm brown marks of the outline of the wreath.

The skin tones and the griffin do not fluoresce at all, while the white garment and background emit a weak brownish fluorescence. The warm brown outlines of the garment and its folds have been changed and corrected by the artist during the painting process, as illustrated by several additional lines, which become visible under UV radiation. These compositional changes are also detected in the IRR image, though more faintly (fig. 3.12C). In contrast, the hair, beard, eyes, and eyebrows of the man, as well as the wings of the griffin, appear very dark—as expected for a carbon-based black pigment. The MBR image has very low contrast (fig. 3.12D).

Additionally, the multiband imaging reveals an inscription on the top right edge, which is easily missed in the visible light image. In particular, the IRR and MBR images make the original inscription clearer (fig. 3.13C–D). In the infrared image the contrast is greatly enhanced, while in the MBR image the soiled background has a more flat and homogeneous appearance, improving the readability further. Unfortunately, the inscription is still unreadable, regardless of the imaging tool used. It is most probably in Greek, which appears to have been the dominant language for inscriptions on Romano-Egyptian panel paintings. However, most panels are without inscriptions, which might also relate to the often-poor preservation and the loss of the original frames. Thus, only six votive panels rendering various divinities carry extant inscriptions in Greek.26 The inscriptions primarily appear to be dedicatory, mentioning the name of the dedicant and the recipient deity. Inscriptions could also be written in Demotic, as attested by a votive panel from Tebtunis depicting the god Harpocrates.27 In comparison, some mummy portraits carry inscriptions, which provide the names—often Greek—of the deceased rendered in the portrait.28

The image displays four views (A, B, C, D) of a wooden panel with an inscription using multiband imaging techniques. Panel A shows the inscription in Visible Light. The inscription is faint, appearing as dark markings on a reddish-brown, cracked, and textured surface. Panel B corresponds to the Ultraviolet-Induced Visible Fluorescence image. The surface has a dark, brownish-yellow appearance, and the inscription is largely obscured. Panel C shows the Infrared Reflectography image. In this black and white view, the inscription is much clearer, appearing as dark black characters against a light grey background. Panel D shows the Multiband Reflectography image. It is also black and white and clearly shows the inscription, similar to the IRR image.
Expand Figure 3.13 Multiband imaging of the inscription on ÆIN 686-687: (A) VIS, (B) UVF, (C) IRR, (D) MBR. Photo: Jens Stenger

MBI also reveals a significant detail of the decoration on the man’s garment. In the area of the lower-right corner of the panel, at the man’s left underarm, on the mantle, is a so-called gammadion (fig. 3.14A), a decorative figure composed of a capital gamma (Γ) in the shape of a right angle. The UVF image (fig. 3.14B) shows that a red lake was used to render it. The IRR image (fig. 3.14C) makes it clear that the gammadion was further ornamented with two white parallel, narrow lines at each end. The horizontal double line only becomes visible in the IRR image. The depiction of gammadia is rare but not unknown in Egyptian panel painting, as well as in mummy portraits.29 Mantles with gammadia were often worn by members of the early Christian and Jewish communities, as depicted, for example, in the wall paintings of the early Christian catacombs in Rome and in the synagogue in Dura-Europos.30 Gammadia are also seen on the contemporary Romano-Egyptian stucco mummy coffins, such as the second-century mummy coffin of Teuris from Tuna el-Gebel.31

The image displays three views (A, B, C) of a painted wooden panel using multiband imaging techniques. Panel A shows the gammadion symbol in Visible Light. The symbol is painted with thin black lines on a light tan, cracked, and weathered surface. There are some faint reddish-brown areas visible beneath the black lines. Panel B shows the Ultraviolet-Induced Visible Fluorescence image. The background fluoresces a dark, brownish-yellow color, while the black lines of the gammadion remain dark and non-fluorescent. Panel C shows the Infrared Reflectography image. In this black and white view, the gammadion symbol is highly visible, appearing as dark black lines against a lighter grey background.
Expand Figure 3.14 Multiband imaging of the gammadion on ÆIN 686-687: (A) VIS, (B) UVF, (C) IRR. Photo: Jens Stenger

In his right hand, the man holds a brown pine cone, a common attribute, like the funerary wreath in his other hand. Both objects are also observed in the iconography of contemporary mummy portraits.32 Centrally placed at the bottom of the panel is an unidentified object, possibly an incense burner.

For ÆIN 686-687, the VIL image (not illustrated) showed no evidence of the use of Egyptian blue, and it seems that blue was not used for this panel painting at all. Finally, the surface texture of the painting was documented in raking light (fig. 3.15). In addition to the original brushwork related to the ground application one can observe the paint lifting upward, away from the support, due to the contraction of the wood.

Black and white photograph in raking light showing a close-up detail of a wooden panel. The raking light strongly emphasizes the rough, vertical texture and grain of the wood. The panel is composed of separate planks, and a dark, irregular gap is visible between two of them.
Expand Figure 3.15 Detail of ÆIN 686/687 in raking light. Photo: Jens Stenger

Pigments and Painting Techniques

Multiband imaging provides a broader foundation for the discussion of the iconographic vocabulary and painting techniques used in Romano-Egyptian panel painting compared to what visual examination and visible light photography alone can provide. The similarity of red lake highlights on top of red ochre in the pink garment, the gray clavus, and the very light, off-white flesh color of the female figures in ÆIN 685 and ÆIN 711 is striking.33 Both figures also wear a bracelet on their proper right wrist in the form of a snake with yellow as the base color (fig. 3.16). Each snake makes two turns around the wrist. In both paintings the bracelet’s turn toward the elbow is undulated, while the turn toward the hand is straight. On ÆIN 685 the head of the snake rests on top of the wrist, while on ÆIN 711 the head comes farther around the arm toward the center of the wrist. On the former, the yellow color is modulated by a lighter and a darker line, while on the latter the variation is applied in a dot pattern using similar colors.

Two rows of images showing three views each of two different painted panels under various types of light. The top row corresponds to three images (A, B, C) of Panel ÆIN 685. Panel A is a Visible Light image and shows a detail of a bracelet, which appears as a light-colored shape with reddish-brown outlines and details, painted on a light tan, cracked surface. Panel B is an Ultraviolet-Induced Visible Fluorescence image and shows the bracelet area as dark and non-fluorescent, against a dark brownish-yellow fluorescing background. Panel C features an Infrared Reflectography image and is black and white. It clearly reveals the dark black lines used to outline the shapes on the bracelet. The bottom row features three images (D, E, F) of Panel ÆIN 711. Panel D is a Visible Light image and shows a second bracelet, which is yellowish or light-colored with red details, painted on a reddish-brown background. Panel E is an Ultraviolet-Induced Visible Fluorescence image and shows the bracelet as dark and non-fluorescent. The original red pigment is a bright, distinct orange-red. The background fluoresces a dark brownish-yellow. Panel F corresponds to an Infrared Reflectography image and is black and white. It clearly shows the dark black outlines of the bracelet's details.
Expand Figure 3.16 Comparison of multiband imaging of the snake bracelets on ÆIN 685: (A) VIS, (B) UVF, (C) IRR; and ÆIN 711: (D) VIS, (E) UVF, (F) IRR. Photo: Jens Stenger

When comparing the three individual panels it becomes clear that the two so-called votive panels (ÆIN 685 and 711) have several aspects in common when it comes to the pigments used. In contrast, the funerary portrait (ÆIN 686-687) employs a slightly different, somewhat simpler palette. For example, both votive panels employ indigo, which is absent on the funerary portrait.

Only ÆIN 685 uses Egyptian blue, which is somewhat surprising, considering the widespread use of this pigment during antiquity. However, Egyptian blue was reported on only 64 out of 384 panels in the APPEAR database—although it should be noted that the actual number is probably higher, as this only accounts for panels that have been analyzed.34

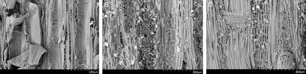
Wood

Each of the three paintings’ supports is made from a different kind of wood (fig. 3.17). Ziziphus spina-christi (sidr) wood was identified for ÆIN 685, Tamarix sp. (tamarisk) wood for ÆIN 711, and Ficus sycomorus (sycomore fig) wood for ÆIN 686-687. Previously, Ziziphus spina-christi has been identified mostly in dowels and tenons, and occasionally for coffin panels—all used in the manufacture of pre–Romano-Egyptian coffins. Sidr is native to Egypt but is also found in southern Mediterranean Europe, the Middle East, and Arabia. It is a dense, hard, resilient wood of high quality.

VP-SEM (Variable Pressure Scanning Electron Microscope) images of three wooden supports. Panel A shows a black and white image of the wood structure for panel ÆIN 685, revealing a longitudinal section with visible vessel elements and porous structures. The scale bar indicates 200 micrometers. Panel B shows a black and white image of the wood structure for panel ÆIN 711, showing dense arrays of pores and cellular structures. The scale bar indicates 300 micrometers. Panel C shows a black and white image of the wood structure for panel ÆIN 686-687, displaying a longitudinal section with long fibers and vessel structures. The scale bar indicates 400 micrometers.
Expand Figure 3.17 VP-SEM images of the wooden supports of ÆIN 685 (A), ÆIN 711 (B), and ÆIN 686-687 (C). Photo: Caroline R. Cartwright, Department of Scientific Research, British Museum. © The Trustees of the British Museum

Tamarisk is unlikely to have been the optimal choice of timber for painted panels, as the coarse, fibrous texture of this wood shows little resistance to attack by fungi and insects. Nonetheless, its properties include medium bending and compression strength and moderate hardness. With appropriate tools, tamarisk timber would have been easy to work and would have been readily obtainable from the vegetation of the Nile riverbank.

The choice of the indigenous sycomore fig wood for ÆIN 686-687 is rather paradoxical, since it is light, not of high quality, and very prone to insect and fungal attack.35 In earlier periods, applying thick layers of gesso and pigments to cover coffins’ wood planks reduced these drawbacks, and Ficus sycomorus is one of the relatively few local trees that grew sufficiently tall to yield the long lengths of timber suitable for such planks. Romano-Egyptian painted panels made from sycomore fig needed to be much thicker than those of other woods, and they could not easily be made to curve snugly over the mummy head in the same manner as a thin limewood panel. Indeed, the slats used for ÆIN 686-687 are 2.4 cm—much thicker than most other panel paintings.36

The wood types found in this study are ones native to Egypt, perhaps because the application had a lesser demand for quality than mummy portraits. In comparison to other woods, sycomore fig, sidr, and tamarisk wood make up only a small fraction of the British Museum’s database of mummy portrait supports (see Cartwright, in this volume). The three Getty panels from the first century CE—portrait of a man, Isis, and Serapis, which have often been discussed as a triptych—are executed on sycomore fig, like ÆIN 686-687.

Conclusions

The preceding sections have presented investigations by multiband imaging of three exceptional Romano-Egyptian panel paintings, and this study has generated significant insights into the materials used for their construction that hopefully will contribute to further research into this rare corpus of ancient Egyptian art.

When comparing the votive panels to mummy portraits, it becomes clear that they are closely related, both technically and stylistically. Yet the panels examined here differ from this corpus in the use of locally sourced wood, instead of imported limewood, and by the slightly different palette employed, for example in excluding the use of green and using blue in a very limited way. However, the three panels do not express an entirely coherent palette or painting techniques and differ from one another. The two votive paintings display a slightly more extensive palette, while the funerary portrait uses fewer colors and different pigments, primarily earth pigments.

The three panels examined here, although few in number, provide insights into artistic painting from religious contexts during the Roman period, a subject about which we know, to date, very little. Moreover, despite the widespread use in various contexts of painting on wood, almost no examples are preserved from the Mediterranean littoral dating from the Roman period (or earlier).37 Thus, Romano-Egyptian panel paintings can potentially provide insights into the now-vanished paintings on wood from other areas of the Roman Empire and in that way offer a better understanding of the artistic intersections between the different regions of the Empire during the first three centuries CE.

Acknowledgments

The present study forms part of the interdisciplinary research project Sensing the Ancient World: The Invisible Dimensions of Ancient Art, which has been generously funded by the Carlsberg Foundation. We would like to take the opportunity to express gratitude to the Ny Carlsberg Glyptotek, especially conservator Rebecca Hast and the technical staff, for facilitating the study of the panels. Jens Stenger is also grateful for discussions with Tom Egelund regarding the assessment of the paintings’ condition with raking light imaging. Finally, we are extremely grateful to the organizers of the 2022 APPEAR conference, Marie Svoboda and Ben van den Bercken, and to the participants for their insightful comments.

Notes

  1. ; . ↩︎

  2. ; . ↩︎

  3. Staatliche Museen, Ägyptisches Museum, Berlin, inv. no. 17957 (two door panels); Ashmolean Museum, Oxford, inv. nos. 1922.237–239. ↩︎

  4. Antikensammlung, Altes Museum, Berlin, inv. no. 31329. ↩︎

  5. British Museum, inv. no. 1975,0728.1. ↩︎

  6. Louvre, inv. no. AF 10878-79. ↩︎

  7. Yale University Art Gallery, New Haven, inv. no. 1929.288. ↩︎

  8. Staatliche Museen, Ägyptisches Museum, Berlin, inv. no. 12712. ↩︎

  9. . ↩︎

  10. . For a thorough presentation of the find spots and archaeological sites where panel paintings have been recovered, see . ↩︎

  11. ; ; . ↩︎

  12. J. Paul Getty Museum, inv. no. 82.AP.75. ↩︎

  13. . ↩︎

  14. , pl. 1. ↩︎

  15. For previous publications of the panel, see ; , fig. 8; , no. A497; , no. E814. ↩︎

  16. For previous publications of the panel, see ; , fig. 9; , no. A499; , no. E816. ↩︎

  17. For previous publications of the panel, see , no. E815; , no. 22; , no. 22; , pl. 22.3. ↩︎

  18. https://maxmax.com/shopper/product/15073-xnitecc152-x-nite-cc1-filter-in-52mm-diameter-x-2mm-thick/category_pathway-9217. ↩︎

  19. As described by ; . ↩︎

  20. https://www.xrite.com/categories/calibration-profiling/colorchecker-classic-family/colorchecker-passport-photo-2. ↩︎

  21. https://www.uvinnovations.com/target-uv. ↩︎

  22. . ↩︎

  23. . ↩︎

  24. . ↩︎

  25. . ↩︎

  26. . These include (1) a panel depicting an armed god in the Ashmolean Museum, Oxford, inv. no. 1922.237 (now lost); (2) a panel rendering the god Heron in the Rhode Island School of Design, Providence, inv. no. 59.030; (3) a panel depicting the god Sobek-Horus in the Petrie Museum, University College, London, inv. no. UC 16312; (4) a panel depicting Heron and Lykurgos in the private collection of Nicole Thierry, Etampes, France; (5) a panel rendering an enthroned goddess in the British Museum, inv. no. 1975.7-28.1 (ca. 325 BCE); (6) a panel depicting the goddess Fortuna-Tyche, Louvre, Paris, inv. no. AF 10878-79 (ca. 600 CE). ↩︎

  27. Phoebe A. Heart Museum of Anthropology, inv. no. 6-21387. ↩︎

  28. See, for example, Metropolitan Museum of Art, inv. no. 18.9.2. ↩︎

  29. Gammadia are depicted on a few mummy shrouds and mummy portraits rendering both men and women. Examples include two portraits in the J. Paul Getty Museum, acc. nos. 78.AP.262 and 74.AP.11. ↩︎

  30. . ↩︎

  31. Allard Pierson Museum, inv. no. 7069. ↩︎

  32. Interestingly, pine cones are not native to Egypt and so would have had to be imported. Modern-day Libya is the closest area where pines (e.g., Pinus halepensis) are native. ↩︎

  33. For chemical analysis of the painting materials, see . ↩︎

  34. . ↩︎

  35. . ↩︎

  36. . ↩︎

  37. The oldest surviving panel paintings from the Greco-Roman world are the four fragmentary wooden panels recovered in a cave at Pisa, near Sicyon, Greece. The panels date to the second half of the sixth century BCE. National Archaeological Museum, Athens, inv. nos. 16464–16467. For an examination of their polychromy, see . ↩︎

of